
Hip Surgery
Total Hip Replacement
A total hip replacement involves replacing both parts that make up the hip joint, both the femoral head (ball) and acetabulum (socket). It is the treatment of choice for end stage disabling arthritis of the hip.
Hip replacement has been shown to be one of the most successful operations performed by Surgeons for improving the quality of patient's lives. In the UK, around 70,000 total hip replacements are performed each year. Many studies now show the excellent long-term results of total hip replacement.
There are many different types of total hip replacement, and many different ways of fixing the replacement parts into the body. The operation owes its success to the pioneering work of Sir John Charnley, from Wrightington Hospital, in Wigan. Sir John developed the Charnley Total Hip Replacement, in the 1960's, which revolutionized the treatment of hip arthritis. His hip replacement has gone on the changes the lives of countless millions of patients since then. The Charnley total hip replacement is still considered to be the 'Gold Standard' against which all other hip replacements are measured. Since then many other hip replacement systems have been developed which show good long-term results. The commonest hip replacements involve cementing a plastic socket into the pelvis, paired with cemented polished metal stem into the top of the femur. The ball that articulates in the socket may be either metal or ceramic.
X-Ray showing a Right Total Hip Replacement. This is a reverse hybrid hip replacement, with a cemented highly cross linked polyethylene cup (Reflection™) and an uncemented femoral stem (Polar stem™). Enlarge
X-ray showing a Right Total Hip Replacement. Here the components are a cemented highly cross-linked polyethylene cup (Reflection™), a cemented femoral stem (Exeter™), with a ceramic head. Enlarge
The particular type of hip replacement needed for each patient is decided after discussion between the patient and surgeon. Many factors need to be considered prior to making the decision such as age and the activity level of the patient, type of arthritis, previous surgery to the hip, medical history, gender, weight, and drug history.
Resurfacing Of The Hip Joint
This operation is a form of hip replacement, it differs in many ways from a total hip replacement. The component parts are larger and are entirely metallic, the device is felt to offer a number of advantages over conventional total hip replacement. Initial results have suggested good short to medium term results, however over the long term there are concerns as to whether this encouraging early success will be continued. The operation should be used with caution if at all in female patients, those with known metal allergies, patients with renal impairment, or patients with abnormally shaped joints, or those with smaller ball and socket joints.
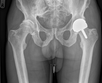
X-ray showing a Left Birmingham™ Resurfacing Hip Replacement. Enlarge
Revision Hip Replacement
All hip replacements will eventually fail. If used for long enough they will ‘wear’ out, but hip replacements can fail due to other reasons, such as infection, fracture around the implant, repeated dislocation, and pain. The assessment and treatment of failing hip replacements is a specialist area. It requires knowledge of the type of implants commonly used and how to safely remove them, so that subsequent reconstruction is possible.
Hip Arthroscopy
Hip arthroscopy involves looking into the hip joint using instruments similar to those used for arthroscopic (keyhole) knee surgery. Unlike arthroscopic knee surgery this operation is much less commonly performed. It is a much more difficult and time-consuming procedure to undertake. It is used by some surgeons for a treating femoro-acetabular impingement. Images to follow
Osteotomy
Describes surgery where bones are cut and then moved to change their shape or position. In hip arthritis it can be useful if bones are particularly misshapen, or if the arthritis has only damaged part of the joint surface, it can move the undamaged part so that this part of the joint takes some load delaying the need for joint replacement surgery. It can involve cuts to the femur or to the pelvis.