
Knee Surgery
Knee Replacement
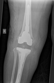
Knee replacement involves replacing the worn out knee joint. The end of the femur is resurfaced with a metallic component, a tray is placed on the tibia and a polyethylene spacer is inserted between the two components. For most total knee replacement the under surface of the kneecap is re-surfaced with a small polyethylene button.
In contrast to the hip joint the knee joint is made up of three parts or compartments. The inner (medial) and outer (lateral) halves and the patello-femoral joint (knee cap), it is possible to replace these separate components in isolation, depending of the type and pattern of arthritis the patient has.
After successful knee replacement we hope to achieve pain relief, a stable straight leg that bend well and will last a long time.
Knee replacement surgery is a different experience for patient when compared to hip replacement, it can be very painful and the time required to fully recover is much longer than with hips. Patients improve for up to a year from surgery.
The results for knee replacement are improving enormously, but sadly there are still a number of patients who don’t achieve the good results we are looking for and a small percentage will continue to have ongoing knee pain despite a well performed operation and normal x-rays.
Revision Surgery
In a similar fashion to hips, all knees will eventually wear out. The commonest reason for failure is aseptic loosening, but infection, poor surgery, the wrong implant, can also lead to the knee requiring to be replaced prematurely. Also knee revision implant surgery is increasingly being performed for trauma (fracture) and failed trauma surgery.
Revision of failing implants is a specialist area. Removal of the implant without causing any further damage to the joint and preserving as much bone and soft tissue is critical so that successful reconstruction is possible.
Ligament Surgery
Anterior cruciate ligament reconstruction is not always needed following damage. Patients who experience recurrent instability, or those that undertake sporting activities which require rapid changes of direction, may benefit from reconstruction.
The ACL can be reconstructed using your own hamstrings, or a portion of the patellar tendon, or synthetic ligaments.
The surgery is followed by a period of intensive specialist rehabilitation.
Keyhole Surgery
Arthroscopy (also called keyhole surgery) involves putting a camera into the knee joint, this is performed via two small cuts just below the kneecap.
This procedure is commonly is performed for a tear of the meniscus. It allows the surgeon to perform surgery to the structures of the knee joint using small specialist instruments without the need for large incisions.
The advantages of arthroscopic surgery are less pain, smaller scars and more rapid recovery than that of conventional larger incision surgery.
Many patients may have had an MRI scan prior to surgery, but this is not always necessary.
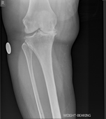
Osteotomy
Osteotomy surgery describes surgery where the bones either side of a joint are cut and reshaped to change the distribution of weight through the joint.
It is used for younger usually male patients, who have arthritis of the knee joint in one half. It should hopefully delay the need for joint replacement surgery.
Depending on which part of the knee joint is involved, either the proximal tibia or the distal femur is broken and reset.