
Knee Pain
Arthritis
Arthritis means inflammation of a joint, and has many causes. The structures that make up the joint eventually become damaged, such that regardless of the cause patients can be severely disabled.
Patients usually have pain and stiffness in the affected joint. Knee arthritis is often associated with deformity, such that the affected limb can adopt either a knock knee or bow legged shape.
Treatment is firstly focused on non-operative treatment such as weight loss if necessary, activity modification, patient education, and treatment with anti-inflammatory medication.
Patients in severe pain and those who fail to respond to non-operative treatment may benefit from joint replacement surgery. Knee replacement surgery for arthritis differs from hip replacement. In addition to pain relief, deformity correction and a good post operative range of movement is also essential.
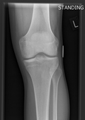
X-ray of knee, showing severe osteoarthritis of the joint, with bone loss, and subluxation of the joint.
Bilateral Knee, X-ray of knees, showing osteoarthritis of the inner half of both knees (medial compartment).
Valgus, X-ray of Knee, showing osteoarthritis of the lateral compartment (outer half) of the knee joint. There is a secondary valgus deformity (knock knee) of the joint.
Ligament Injury
Ligaments are important soft tissue structures responsible for the stability of the knee.
There are two collateral ligaments, either side of the knee and two cruciate ligaments, in the middle of the knee.
The anterior cruciate ligament (ACL) is responsible for stability of the flexed knee, especially when changing direction. When this ligament is damaged patients can experience problems with stability of the knee especially when changing direction on a flexed knee, such as pivoting when playing sport. Symptomatic instability of the knee following an ACL injury that fails to respond to physiotherapy led rehabilitation, often requires ACL ligament reconstruction.
The medial collateral ligament (MCL) the main ligament on the inner side of the knee is also often injured, especially during football. Unlike the ACL the MCL rarely requires surgery if injured, as it responds very well to conservative management.
Cartilage
The bones making up the knee joint have a layer of cartilage covering them. This smooth shiny ‘glass like’ surface is ‘hyaline’ cartilage.
The function of this cartilage is to share load, and ensure frictionless motion through out the normal range of movement of the knee.
For most people this cartilage can and will last a life time. Damage secondary to arthritis, excess sporting activity, obesity, vascular conditions can affect the longevity of the cartilage.
A great deal of research is conducted into trying to treat arthritis of the knee with operations involving cartilage transplant from one area of the knee to another to fill smaller cartilage defects, such as mosaic-plasty.
Another area of interest is trying to grow cartilage from the patients own cartilage, forms of autologous chondrocyte (the cells that make cartilage) implantation.
For most patients this is still considered experimental, it should only be performed as of part of an ongoing clinical trial, (NICE, National institute of Clinical Excellence recommendation)
Other areas of interest lie with agents known as visco-supplementation agents. This involves injecting patients knees with agents derived from chicken’s combs. The aim is to replace lost and damaged cartilage derived proteins, the aim is to reduce swelling, inflammation and pain, so that hopefully delay the need for surgery. Sadly again the results are POOR and not predictable. It is currently not recommend for routine use by the National Institute for Clinical Excellence.
Most patients by the time they present to a surgeon will often have disease which is too advanced for this form of intervention.
Younger patients with contained small volume defects of cartilage loss can be helped with arthroscopic ‘microfracture’ operations.
Sports Injury
The menisci are two structures between the femur and tibia of the knee joint. They are made from a different form of cartilage but in contrast to the smooth glass like hyaline cartilage these help to share load and stabilize the knee joint.
They act like a washer or gasket, and can be damaged, during sporting or other activities. Tears of the meniscus are the commonest reason for arthroscopic (keyhole) surgery to the knee.

Patella Pain
The knee cap, also known as the patella is a seasamoid bone that acts to improve the moment arm of the quadriceps muscle, so that less energy is required to straighten the leg. This bone and the area of the femur it is in contact with can also be a source of pain.
It can develop osteo-arthritis in isolation, but more commonly it is part of generalised arthritis of the whole knee joint.
Another common cause of anterior knee pain is Chondromalacia patellae, also known as ‘Runner's Knee’. This is due to an irritation of the undersurface of the kneecap. The cartilage surface become irritated, and knee pain is the result. It leads to changes of the deepest layers of cartilage, causing blistering of the surface cartilage. The pattern of cartilage damage seen with chondromalacia differs from the degeneration seen in arthritis, and the damage from chondromalacia is thought to be capable of repair, unlike that seen with arthritis. Typical patients are often female, young, otherwise healthy, athletic individuals. Treatment rarely involves surgery, usually resting the knee and physical therapy are all that are required. Arthroscopic surgery and re-alignment procedures can be needed in refractory cases.